// Invisalign Before & After Cases //

インビザラインの症例

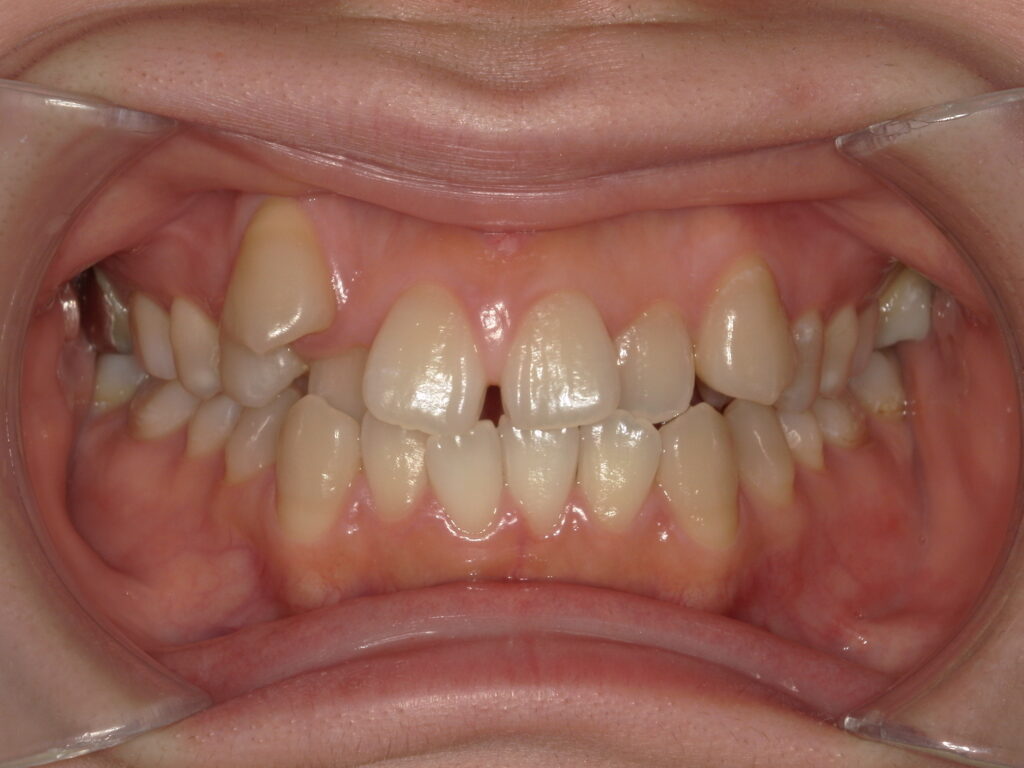
木村様

「ワイヤーとマウスピースの併用+遠隔地への引越し」

Before

After

Before

After

矯正種類

全体矯正

ワイヤーとマウスピース矯正

期間

26か月

(9か月目で遠隔地に転居)

金額

586,850

一括割引あり

治療内容

デコボコの改善

⚫︎矯正治療後アンケート

1.当院で治療矯正を始めようと思った決め手は?

A. かみ合わせが悪かった。頭痛や首の痛みがひどかった。

2.矯正治療をして良かった点を教えてください

A. 上記の改善

3.矯正治療中に大変だったことや気になる点などあれば教えてください

A. 特になし

4.治療矯正を終えて今の歯並びをどう思いますか?

A. すごく満足しています!

5.これから治療矯正を始める方へメッセージなどお願いします

A. 見た目の変化だけでなく、身体の変化もすごく大きいのでおすすめです。

Comments from the doctor

歯を抜いて凸凹を改善しました

特に上顎がせまいのを改善したことにより舌の位置が正しい位置に戻り呼吸の改善から姿勢が変化しました。

週に3回くらいある片頭痛や首の痛み、鼻炎が改善しました。(最初から改善を狙っていたわけではなく結果として改善しました。)

途中で遠隔地に転勤となりマウスピースタイプで仕上げました

◼︎メリッ

遠方に転居のさいマウスピースでの矯正に切り替え来院頻度を少なくしました

◼︎デメリット

遠方なので細かな変化を確認できない。ので来院の際には資料をとりながら変化を確認しながらすすめました。

本症例は当院で治療を受けられた個人の感想です

ぬまざわ様

「デコボコとかみ合わせの改善」

Before

After

Before

After

矯正種類

全体矯正

マウスピース矯正

期間

26か月

金額

693,550

(平日割引あり

治療内容

デコボコの改善

⚫︎矯正治療後アンケート

1.当院で治療矯正を始めようと思った決め手は?

A. ネットで見たり説明会に来てよかったことと、スキャンで診ていただけるので遠方でも問題ないと思ったからです。

2.矯正治療をして良かった点を教えてください

A. 歯間の衛生を保ちやすくなった。見た目にも満足しています。

3.矯正治療中に大変だったことや気になる点などあれば教えてください

A. 出だしの抜歯後数週間は、痛いのと慣れないので大変でしたが、慣れてからは問題なかった。

4.治療矯正を終えて今の歯並びをどう思いますか?

A. 満足です。嬉しく思っています。

5.これから治療矯正を始める方へメッセージなどお願いします

A. 私は年齢がだいぶいっているので矯正を迷う気持ちもありましたが、やってみて本当によかった。歯並びのコンプレックスを一生持ち続けることなく思い切ったチャレンジしてよかったです。

Comments from the doctor

・全体矯正

・期間 26か月

・金額 693,550円(マウスピース矯正 平日割引料金)

・治療について :デコボコとかみ合わせの改善。上下の歯を抜いて歯を並べました。無理に歯を残して並べると口元が出てきたり歯茎が下がってしまう場合があります(デメリット(これについては個人差があります。))、そうならないように歯を動かしました。

K・M 様

「子供の頃からコンプレックスだったので…」

Before

After

Before

After

Before

矯正種類

全体矯正

期間

2年5か月

金額

650,000円+税

治療内容

デコボコの改善

⚫︎矯正治療後アンケート

1.当院で治療矯正を始めようと思った決め手は?

A.通いやすさ(アクセスの良さ)と、カウンセリングで先生、スタッフさん(受付含め)が優しかった。

2.矯正治療をして良かった点を教えてください

A.笑う時に歯並びを気にせず思い切り笑える様になった。

3.矯正治療中に大変だったことや気になる点などあれば教えてください

A.飲食の際、マウスピースを外さないといけない事

 マウスピースや歯を清潔に保つこと

4.治療矯正を終えて今の歯並びをどう思いますか?

A.きれいに並んでとても嬉しいです。

5.これから治療矯正を始める方へメッセージなどお願いします

A.子供の頃からコンプレックスだったので、思い切ってやってみて口元を気にせず笑うことができる様になり、やって良かったです。

Comments from the doctor

【治療期間】 2年5か月【費用】 650,000円+税【装置】 インビザライン【治療について】凸凹の矯正。矯正前後で見た目も変わりましたが、気道が倍近く広がっています。(Min Area 89.0mm2→172.2mm2)

// flow //

矯正を始めるまでの流れ

// 気になる歯並びをご相談 //

無料相談会実施中

目立ちにくい 取り外しができる 痛みが少ない マウスピース矯正

こんなお悩みございませんか?

目立ちにくい 取り外しができる 痛みが少ない マウスピース矯正2

それを解決するのが!

このマウスピース矯正です

目立ちにくい

取り外しができる

痛みが少ない

最新の歯科矯正理論と、米国アライン・テクノロジー社独自の3次元画像化技術やCAD/CAM(光造形)等の最先端技術を融合させた、新しいアプローチの歯科矯正治療システムです。

// Free consultation //

まずは無料相談にお越しください

※完全予約制 お一人様、30分〜1時間ほどになります。
3Dスキャナーで矯正後のシミュレーションを見ながらお話をさせて頂きます

// 気になる歯並びをご相談 //

無料相談会実施中

// Four advantages of Invisalign //

インビザライン4つのメリット

旭川 目立ちにくい 取り外しができる 痛みが少ない マウスピース矯正 2週間ごとの付け替えるだけ

自分で付け替えるので通う回数が少ない

通常のワイヤーの矯正よりも通院回数が少なくなるため、日常生活の中でのスケジュール調整が楽になります。交通費や移動にかかる時間も節約できます。
目立ちにくい 取り外しができる 痛みが少ない マウスピース矯正

痛みも少なく目立たない

通常の矯正治療と比べて、インビザラインは痛みが少ないため、治療中の不快感が軽減されます。
さらに透明なマウスピースであるため目立ちにくく、日常生活や仕事でも気にせず過ごすことができます。

気にせず笑える 目立ちにくい 取り外しができる 痛みが少ない マウスピース矯正

口元を気にせず笑える

笑ったときや話すときに矯正装置が目立たないため、自然に笑顔を見せることができます。仕事や集まりなどの場面で、矯正装置を気にすることなくコミュニケーションを取ることができます。
食事の前に外すだけ 目立ちにくい 取り外しができる 痛みが少ない マウスピース矯正

食事の際は自分で外すだけ

食事の際には外して好きなものを食べることができます。これにより、特定の食材を避ける必要がなくなります。歯磨き前にインビザラインを外すことで、食べ物の残りカスが装置にこびりつくことを防ぐことができます。
当院は旭川駅前徒歩2分にあります。 流行りの透明マウスピース矯正invisalign社認定の歯科医院です。 経験豊富なインビザラインの 認定医が治療にあたります。

これまでのマウスピース矯正治療の実績や治療管理システム、歯列矯正全般の知識や培ってきた医療技術を用いて、お客様が安心して受けられる治療をご提供しています。

インビザライン認定

// 気になる歯並びをご相談 //

無料相談会実施中

// FEATURE //

マウスピース矯正が得意な
当院の4つの特徴

.01

Access

旭川駅前なので通いやすい

マウスピース矯正は、ワイヤー矯正に比べて通院の回数は少なくなることが期待できますが、それでも矯正がどこまで進んでいるかを定期的に診て調整をしていきます。

当院は旭川駅前にありますので、通勤・通学のアクセスも良いです。車をご利用の方は近隣の有料駐車場のチケットをお持ちいただければ無料でご利用いただけます。

旭川駅前 透明で目立たないマウスピース矯正
大人 目立ちにくい 取り外しができる 痛みが少ない マウスピース矯正
.02

price

安心の定額治療費

当医院では、患者さまに安心して治療をして頂けるように、定額制の料金設定をしています。矯正費用には、診断料・装置料・定期診療料などの料金を含みます。

お支払いはカードでの分割払いや、デンタルローンの利用も可能ですのでお気軽にご相談ください。

また、お得な割引システムもございますので、ご活用ください。

軽度の歯並び【インビザライン7】
マウスピース7枚

本体価格:400,000 [税込価格:440,000]


軽度の歯並び【インビザライン・ライト】
マウスピース14枚

本体価格:550,000 [税込価格:605,000]


中度〜重度の歯並び【インビザライン・フル】
マウスピース数無制限
5年保証

本体価格:700,000 [税込価格:770,000]

ダブル割
平日早割と振込一括割両方していただける方は5%OFF

平日早割
平日の4時半までにご予約をしていただける方は3%OFF

振込一括割
銀行振込一括払いしていただける方は3%OFF

子供 目立ちにくい 取り外しができる 痛みが少ない マウスピース矯正
.03

treatment

虫歯治療や抜歯もできる

実は矯正治療の妨げになってしまうような、穴が空く程度まで進行した虫歯がある場合には、矯正治療前に虫歯の治療を行います。
当院では虫歯はもちろん、抜歯も可能ですので、虫歯の治療期間も費用も縮小できる可能性があります。
.04

Achievement

信頼と実績

旭川市内の方はもちろん、旭川近郊、北見や稚内、滝川などのお住まいの方々にもお越しいただいております。

そして、当院はインビザライン公認のプラチナプロバイダーなのでご安心してマウスピース矯正の治療をしていただけます。
詳しくは以下の症例をご覧ください。

インビザライン盾

// Free consultation //

まずは無料相談にお越しください

※完全予約制 お一人様、30分〜1時間ほどになります。
3Dスキャナーで矯正後のシミュレーションを見ながらお話をさせて頂きます

// TREATMENT CASE //

マウスピース矯正の症例

A・K 様

「頭痛がなくなったかも、イビキもなくなった」

Before

Mid

After

⚫︎矯正治療後アンケート

1.当院で治療矯正を始めようと思った決め手は?

A.場所カウンセリングで良かった。

2.矯正治療をして良かった点を教えてください

A.頭痛なくなったかも、イビキも無くなった

3.矯正治療中に大変だったことや気になる点などあれば教えてください

A.少しめんどうだった時もあった。

4.治療矯正を終えて今の歯並びをどう思いますか?

A.良い

5.これから治療矯正を始める方へメッセージなどお願いします

A.やった方がいい!

Comments from the doctor

  • 全体矯正(転居に伴い、他院からの引継ぎ症例)
  • 期間 111か月
  • 金額 330.000円(マウスピース矯正 引継ぎ特別価格)
  • 治療について :マウスピース矯正途中からの続き希望、デコボコとかみ合わせの改善。上下の歯を抜かずに歯を並べました。これにより舌のスペースを広げることができます。抜く場合と抜かない場合をシュミレーションし非抜歯のほうがメリットがあると判断しました。(これについては個人差があります。)無理に歯を残して並べると口元が出てくる場合がありますが(デメリット)、そうならないように歯を動かしました。

O・H 様

「歯並びを気にすることがなくなった」

Before

出っ歯 口ゴボ 八重歯 受け1口 すきっ歯  オープンバイト 1

After

出っ歯 口ゴボ 八重歯 受け口 すきっ歯  オープンバイト2

⚫︎矯正治療後アンケート

1.当院で治療矯正を始めようと思った決め手は?

A.ずっと歯並びが気になってのと、マスク生活のうちにしようと思った

2.矯正治療をして良かった点を教えてください

A.歯並びを気にすることがなくなった

3.矯正治療中に大変だったことや気になる点などあれば教えてください

A.外食などでの外したり、つけたりが大変でした

4.治療矯正を終えて今の歯並びをどう思いますか?

A.気になっていた所がキレイになってすごく良かったです

5.これから治療矯正を始める方へメッセージなどお願いします

A.時間がかかることなので、始めるなら早いうちにと思います

旭川 矯正治療 アンケート 1

Comments from the doctor

  • 全体矯正 
  • 期間 2年6か月
  • 金額 715.000円(マウスピース矯正)※現在の料金と異なります。
  • 治療について 出っ歯の治療。上あごが出ているので上の歯を二本抜きました。マウスピースでは難易度が上がります(デメリット)。しかし、かみ合わせを良くすることが可能になり、見た目もよくなりました。また下の歯を抜かないことにより空気の通り道(気道)を狭くするリスクを少なくすることができます。(これは個人差があります。)

E・A 様

「コンプレックスだったので…」

Before

出っ歯 口ゴボ 八重歯 受け口 すきっ歯  オープンバイト 3

After

出っ歯 口ゴボ 八重歯 受け口 すきっ歯  オープンバイト 4

Before

出っ歯 口ゴボ 八重歯 受け口 すきっ歯  オープンバイト 5

After

出っ歯 口ゴボ 八重歯 受け口 すきっ歯  オープンバイト 6

⚫︎矯正治療後アンケート

1.当院で治療矯正を始めようと思った決め手は?

A. 近さ

2.矯正治療をして良かった点を教えてください

A. 歯が磨きやすい

3.矯正治療中に大変だったことや気になる点などあれば教えてください

A. マウスピースを着けている時間を守ること

4.治療矯正を終えて今の歯並びをどう思いますか?

A. コンプレックスだったので、良くなり嬉しいです

5.これから治療矯正を始める方へメッセージなどお願いします

A. 少しでも早くはじめるべきです

Comments from the doctor

  • 全体矯正
  • 期間 2年4か月
  • 金額 715.000円(マウスピース矯正)※現在の料金と異なります。
  • 治療について デコボコの矯正。上下の歯を抜かずに歯を並べました。これにより舌のスペースを広げることができます。抜く場合と抜かない場合をシュミレーションし非抜歯のほうがメリットがあると判断しました。(これについては個人差があります。)無理に歯を残して並べると口元が出てくる場合がありますが(デメリット)、そうならないように歯を動かしました。

// 気になる歯並びをご相談 //

無料相談会実施中

// Free consultation //

まずは無料相談にお越しください

※完全予約制 お一人様、30分〜1時間ほどになります。
3Dスキャナーで矯正後のシミュレーションを見ながらお話をさせて頂きます

K・K 様

「歯並びを気にせず笑える」

Before

出っ歯 口ゴボ 八重歯 受け口 すきっ歯  オープンバイト 7

After

出っ歯 口ゴボ 八重歯 受け口 すきっ歯  オープンバイト 8

⚫︎矯正治療後アンケート

1.当院で治療矯正を始めようと思った決め手は?

A. マウスピース矯正をしたいと思っていたから

2.矯正治療をして良かった点を教えてください

A. 歯並びを気にせず笑えるようになったこと

3.矯正治療中に大変だったことや気になる点などあれば教えてください

A. 最初の1週間は痛くて大変だった

4.治療矯正を終えて今の歯並びをどう思いますか?

A. 満足しています

5.これから治療矯正を始める方へメッセージなどお願いします

A. 長い治療になりますが、少しずつ良くなっていく歯並びがモチベーションにつながると思います

旭川 矯正アンケート 3

Comments from the doctor

  • 期間 2年9か月
  • 金額 715.000円(マウスピース矯正)※現在の料金と異なります。
  • 治療について デコボコの治療。上下の歯を4本抜いて並べました。特にマウスピースでの歯を抜いての矯正は難易度が上がります(デメリット)が、抜いたことによりかみ合わせと見た目が改善しました(メリット)。

N・R 様

「慢性的な肩こりや頭痛がなくなった」

Before

After

⚫︎矯正治療後アンケート

1.当院で治療矯正を始めようと思った決め手は?

A. 疲労の溜まっている日に肩こりが続いたり、力仕事をするときに歯を噛み締められなくなったりと、奥歯の影響で生活に支障があったため

2.矯正治療をして良かった点を教えてください

A. 慢性的に続いていた肩こりや、それによる頭痛がなくなった

3.矯正治療中に大変だったことや気になる点などあれば教えてください

A. 仕事上、歯を磨くことが困難なことがあり、そう言った日に矯正の効果が消えていないかと心配になった

4.治療矯正を終えて今の歯並びをどう思いますか?

A. 治療前よりも歯磨きがしやすく、また食べ物が挟まる回数も減り、肩こりなどもなくなり満足しています。

5.これから治療矯正を始める方へメッセージなどお願いします

A. 矯正をしてから肩こりなどの不調が消え、自然と歯を大切にしようという気持ちにもなれました。もし、歯並びなどが原因で不調があり悩んでいるのなら、相談だけでもすることをお勧めします。

Comments from the doctor

  • 期間 12か月
  • 金額 715.000円(マウスピース矯正)
    ※現在の料金と異なります。
  • 治療について

    デコボコの矯正。上下の歯を抜かずに歯を並べました。

    見かけをよくするというより、主訴である奥歯のかみ合わせにの不調に対してかみ合わせのバランスをとることを主目的として歯を動かしました。全身の不調に対しては積極的に治療は行っていませんが、結果的に改善が認められました。全身写真の比較でもバランスが取れてきていることが認められます。(これは個人差があります。)

O・D様

「歯並びが良くなった」

Before

user comment....

After

user comment....

⚫︎矯正治療後アンケート

1.当院で治療矯正を始めようと思った決め手は?

A. 立地、紹介

2.矯正治療をして良かった点を教えてください

A. フェイスラインが変わった気がする。歯軋りがなくなった。

3.矯正治療中に大変だったことや気になる点などあれば教えてください

A. 特になし

4.治療矯正を終えて今の歯並びをどう思いますか?

A. 良い

5.これから治療矯正を始める方へメッセージなどお願いします

A. 

旭川駅前 歯列 矯正 治療 マウスピース インビザライン O・D様アンケート

Comments from the doctor

  • 治療前後の写真(口腔正面、顔面正面)参照

    ・全体矯正 

    ・期間 10か月

    ・金額 770.000円(マウスピース矯正)

    ・治療について :開口の改善。

    開口の状態を歯を抜かずに改善しました。マウスピースタイプなので食事や歯ブラシの時は取り外して普段通りです。状態により期間が短くて済むことがあります。(メリット)マウスピースの使用時間が短いと予定通りの効果がでないことがあります。(デメリット)

S・S様

「歯並びが良くなった」

Before

椎名 真吾_2021_03_16_002

After

椎名 真吾_2023_10_04_002

⚫︎矯正治療後アンケート

1.当院で治療矯正を始めようと思った決め手は?

A. マウスピースで矯正できるため

2.矯正治療をして良かった点を教えてください

A. 歯並びが良くなった

3.矯正治療中に大変だったことや気になる点などあれば教えてください

A. 日中のマウスピース

4.治療矯正を終えて今の歯並びをどう思いますか?

A. 満足

5.これから治療矯正を始める方へメッセージなどお願いします

A. 自分の理想の歯並びをちゃんと相談する

Comments from the doctor

  • 全体矯正 

  • 期間 2

  • 金額 715.000円(マウスピース矯正)※現在の料金と異なります。

  • 治療について :反対咬合(下顎前突、空隙歯列)。上下の歯を抜かずに歯を並べました。

    主訴である反対のかみ合わせの改善と、すきっ歯を改善しました。治療中も食事や歯ブラシの時は取り外して普段通りです。(メリット)マウスピースの使用時間が短いと予定通りの効果がでないことがあります。(デメリット)

T・K様

「顔自体の歪みの改善」

Before

2023_03_08_004

After

2025_04_14_002

Before

2023_03_08_006

After

2025_04_14_004

⚫︎矯正治療後アンケート

1.当院で治療矯正を始めようと思った決め手は?

A. 旭川で矯正治療を行っている医院の中で口コミが良かったから

2.矯正治療をして良かった点を教えてください

A. 歯並びの改善、顔自体の歪みの改善

3.矯正治療中に大変だったことや気になる点などあれば教えてください

A. 毎日つけ外しすること、アライナーの洗浄

4.治療矯正を終えて今の歯並びをどう思いますか?

A. 思った通りキレイになったと思います。

5.これから治療矯正を始める方へメッセージなどお願いします

A. できるだけ早めに始めた方が良いです!

Comments from the doctor

・全体矯正

・期間 1年8か月

・金額 770,000円(マウスピース矯正 平日割引料金)

・治療について :デコボコとかみ合わせの改善。上下の歯を抜かずに歯を並べました。これにより舌のスペースを広げることができます。抜く場合と抜かない場合をシュミレーションし非抜歯のほうがメリットがあると判断しました。(これについては個人差があります。)無理に歯を残して並べると口元が出てくる場合がありますが(デメリット)、そうならないように歯を動かしました。

// Free consultation //

まずは無料相談にお越しください

※完全予約制 お一人様、30分〜1時間ほどになります。
3Dスキャナーで矯正後のシミュレーションを見ながらお話をさせて頂きます

// 気になる歯並びをご相談 //

無料相談会実施中

// TREATMENT CASE //

ワイヤー矯正の症例

O・H 様

「矯正をしてよかったなと思っています!」

Before

After

出っ歯 口ゴボ 八重歯 受け口 すきっ歯  オープンバイト 10

⚫︎矯正治療後アンケート

1.当院で治療矯正を始めようと思った決め手は?

A.駅が近く通いやすかったから

2.矯正治療をして良かった点を教えてください

A.歯を見せて笑えるようになった点

3.矯正治療中に大変だったことや気になる点などあれば教えてください

A.痛み、歯磨き

4.治療矯正を終えて今の歯並びをどう思いますか?

A.綺麗な歯並びになって嬉しい

5.これから治療矯正を始める方へメッセージなどお願いします

A.痛みなど大変なこともありますが、私は矯正をしてよかったなと思っています。頑張ってください!

旭川 矯正アンケート 4

Comments from the doctor

  • 部分矯正の患者 上顎前歯のみ(歯を抜かない)

  • 期間 11か月

  • 金額 192.500円(ワイヤー矯正 部分はワイヤー)

  • 治療について :前歯のデコボコの矯正を希望。部分矯正のメリットと「期間を短くしたい、金額もできるだけ安くしたい。」という患者さんの希望が一致しました。デメリットとしては前歯のかみ合わせが完全ではないので矯正後の保定(状態を維持すること)が必要になります。

I・Y 様

「食事がしやすい、見た目が良くなる、歯磨きがしやすくなりました。」

Before

旭川 歯並び 矯正 

After

旭川 歯並び 矯正 
旭川 矯正 歯並び

⚫︎矯正治療後アンケート

1.当院で治療矯正を始めようと思った決め手は?

A. ネットの口コミが良く、信頼できそうだった為

2.矯正治療をして良かった点を教えてください

A. 食事がしやすい、見た目が良くなる、歯磨きがしやすくなりました。

3.矯正治療中に大変だったことや気になる点などあれば教えてください

A.口の中に擦れて痛い時があった。食事がしづらかった。見た目が気になった。

4.治療矯正を終えて今の歯並びをどう思いますか?

A. 大変満足です。

5.これから治療矯正を始める方へメッセージなどお願いします

A. 矯正だけでなく虫歯治療も手早く正確に治療してくれる病院なので、安心して進めてください。

Comments from the doctor

・部分矯正の患者 上下顎前歯のみ(歯を抜かない、イベントまでにできるだけ前歯を下げる)
・期間 5か月
・金額 220.000円(部分矯正 ワイヤー)
・治療について :上の前歯の後ろに下げる矯正治療を希望。部分矯正のメリットと「5か月間で、金額もできるだけ安くしたい。」という患者さんの希望が一致しました。デメリットとしては期間が短期なので後ろに下げる量が限界があり、前歯のかみ合わせが完全ではないので矯正後の保定(状態を維持すること)が必要になります。

// FLOW OF TREATMENT //

マウスピース矯正治療の流れ

1. カウンセリング

2. 治療前のお口の状態の検査

3. 治療計画の作成・説明

4. インビザラインの作成

5.マウスピース矯正の装着

// dental monitoring //

「デンタルモニタリング」
来院回数が少なく済みます。

遠方のお客様の通院のご負担を減らすために、スマホのアプリを使用した「デンタルモニタリング」を実施しています。アプリを通じてご自宅で経過観察を行うことができ、来院回数が少なく済みます

ですので、旭川市内の方はもちろん、旭川近郊、北見や稚内、滝川などのお住まいの方々にもお越しいただいております。

// Need Help? //

よくある質問

一般的な矯正治療と同様ですが、装置により得意、不得意があります。状況によっては部分的にワイヤー矯正を短期行うほうが期間が早く、結果もよいことがあります。状況によりマウスピースが合う場合とそうでない場合がありますので気軽に相談してください。

歯並びによるのでケースバイケースですが、1年から2年半が多いです。これについては無料相談にて個別でざっくりシュミレーションを行うのが早いと思います。

内容によりますが平均すると4週間から8週間ごと来ていただきます。遠方の方については上手くいっていれば来院しなくて済むようにデンタルモニタリングを導入しています。通常の矯正治療とマウスピース矯正を比較すると来院回数が少なく済むことが多く、総支出の予定がわかりやすいです。

お子様については、インビザラインでの子供の矯正は側切歯と呼ばれる前から数えて2番目のはが生え始めるころからがドンピシャです。ただし成長期に横向寝や頬杖などの生活習慣について確認する必要や凸凹してかみ合わせる時に邪魔してることがあるときは早めに対処する必要があることもあるので気になったら一度専門のドクターに見てもらうのがベストでしょう。
高齢の方についても歯の維持のためにもかみ合わせも含めて治療が必要なことがあります。70歳超えて矯正さえてる方もいらっしゃいます。

About Dr.Yamori

院長 矢守 俊介

矯正は見かけをよくするのは当然ですが、
特に歯を抜いての治療は機能的にマイナスなことをする場合もあるので、全身のバランスやあごの関節の状態、気道の広さなどトータルで治療計画を立てることが大切と考えています。

そのためには私自身が日々研さんを積む必要があり、大変ですが興味の尽きない仕事をさせてもらっていることに感謝します。

// 気になる歯並びをご相談 //

無料相談会実施中

// Free consultation //

まずは無料相談にお越しください

※完全予約制 お一人様、30分〜1時間ほどになります。
3Dスキャナーで矯正後のシミュレーションを見ながらお話をさせて頂きます
上部へスクロール